病院に着いたのは、ちょっと早めで、レントゲンもあっという間に撮ってくれた。まだ予約時間まで35分もあるわと思い、2階の食堂兼カフェでカプチーノを飲みながらYouTubeを見ていると、カバンの中で振動が。えっ誰から電話?
「今、どこですか?もう受付しますから、来てください。」
ちょっと待って、まだ15分以上あるじゃない。
小走りで1階の外科へ向かう。受付の人は私を見るとすぐに、「こちらへ」と言って、恒例の検温と血圧(急いだせいか私にしては高い目で上が129)身長、体重測定。そして待合の席に座ろうとしたとたん「診察室へどうぞ。」えっ!まだ予約時間の20分前。
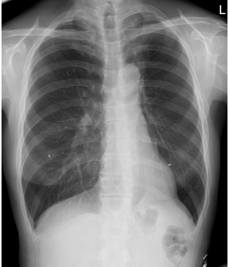
先生はレントゲン画像を見ながら、いつも通り大きな声で笑いながらおっしゃった。
「全然問題ないね。肺も、こんなに伸びてる。手術からどれくらいだっけ?」
いつものことだけど、カルテを見ないのかなあ。
「2年2ヶ月ちょっとです。」
「じゃあ、次はまた4ヶ月でX線。最近の調子はどう?」
「ちょっと胸骨が痛いことがあるんですけど。」
先生は、ちらりと私を見たが、「それはがんとは関係ないよ」とあっさり否定。
会計でいつも通り支払いを済ませても、診察予定時間より早く終わった。支払額は、いつも通りの、医師診察料600バーツ(たった3分!)、診察パッケージ代350バーツ、X線650バーツ 合計1600バーツ(5,520円)。まあ、画像データはLineの受診記録からダウンロードもできるし、毎回先生の診断書も出してもらえるので、3分で何もかも終わるわけではないけれど。
現在の体調は4か月前の検診時と変化はない。でもこれを書きながら、もう2年が過ぎたのだと思った。私のがんはⅠAという初期で発見してもらえたので、転移や再発の可能性はほとんどないと言ってもらえた。でもほとんどないと言っても100%ないわけではない。ただ2年過ぎて、かなり気持ちが楽になっているのは事実だ。
日本で、コロナ患者が増えたために、がん手術が後回しになっている場合もあるという記事を読んだ。なぜそんなことになるのか。がんは早期発見すれば、完治する可能性が高いのだから、手術待ちをしなければならない人が、コロナのために可能性を低くされるなんて不合理だ。これまでも海外から、日本の甘い受け入れ制度をすり抜けた感染者が、日本の感染を広げたのは事実だ。来月のオリンピック後、日本はどうなるのか不安で仕方がない。

肺がんランキング
にほんブログ村
にほんブログ村




